Blanchiment dentaire
Impressionnez par l’éclat de votre sourire
Le blanchiment des dents : Retrouvez un sourire radieux
Il existe plusieurs produits et traitements de blanchiment des dents, dont plusieurs sont proposés en vente libre. Toutefois, pour obtenir de meilleurs résultats en toute sécurité, il est conseillé d’opter pour une solution professionnelle, comme celles offertes par vos dentistes de ville Mont-Royal. Le blanchiment dentaire professionnel peut être effectué en clinique ou à domicile. Dans tous les cas, il s’agit d’une solution efficace pour vous aider à retrouver un sourire éclatant !
Survol du blanchiment dentaire
À l’origine, les dents ne sont pas blanches de nature et leur couleur peut même varier du grisâtre au jaune, en plus de foncer avec l’âge. L’utilisation de tabac, la prise de certains médicaments et la consommation d’aliments qui tachent (café, thé, vin rouge, chocolat noir, épices, etc.) peuvent exacerber cette coloration, qui se loge alors dans l’émail et la dentine des dents. Seul le blanchiment dentaire en clinique peut agir sur cette coloration incrustée, les produits blanchissants en pharmacie agissant strictement sur les taches en surface.
La première règle d’un blanchiment réussi suit une formule prônée par de nombreux artistes, soit: le blanc des yeux devrait correspondre au blanc des dents. Si un gros contraste existe entre les deux, vos dents vous sembleront ternes. En réduisant ce contraste, le blanchiment excelle à redonner un sourire éclatant.
Le blanchiment dentaire en clinique est formulé pour agir en profondeur et de la façon la plus sécuritaire possible, sans danger pour votre santé dentaire en général. Votre dentiste Prisma utilise des gels réservés aux cliniciens professionnels, puisque ces produits possèdent une concentration en agent blanchissant plus élevée, conjuguée à une forte teneur en eau pour garantir leur innocuité et garder les dents hydratées. La gouttière sur mesure permet aussi de vous assurer que toute la surface de vos dents sera blanchie de façon uniforme.
IMPORTANT
Vous souffrez de retrait gingival, c’est-à-dire que vos gencives ont rétréci et exposé la base de vos dents, devenue brune ou non au fil du temps? Il est important de noter que toute partie exposée de vos dents ne bénéficie pas d’une couverture naturelle d’émail, si bien que les agents blanchissants NE PEUVENT PAS AGIR sur sa coloration. Pour éviter un sourire deux-tons et obtenir un résultat d’un blanc uniforme, demandez conseil au Dr Lechner. Une chirurgie parodontale pour repositionner la gencive ou une légère obturation (de style plombage blanc) pourrait être suggérée dans les circonstances.
Les questions les plus fréquentes sur le blanchiment dentaire
Les dents sont différentes d’une personne à l’autre, si bien qu’elles se décolorent, se colorent ou se tachent pour des raisons tout aussi différentes. Par exemple, chez certains, un changement de teinte des dents naturelles survient à cause des aliments que la personne consomme: café, thé, chocolat noir, tisane, vin rouge ou épices tels cari, curcuma, etc. Le fait de fumer contribue aussi à changer la teinte de votre dentition. Certains médicaments qui contiennent de la tétracycline, comme les antibiotiques et des traitements contre l’acné, peuvent aussi provoquer une coloration dentaire. Enfin, la prise de fluor en trop grande quantité en bas âge et les caries peuvent aussi expliquer une coloration de vos dents.
En clinique, un produit de blanchiment est appliqué sur les dents par votre dentiste Prisma. Il se décompose alors en eau et en ions d’oxygène. Grosso modo, les ions vont pénétrer l’émail de vos dents et attaquer les molécules responsables des taches et de la coloration, pour les décomposer et les rendre incolores. Le résultat sera d’un blanc plus ou moins intense selon le nombre d’ions et la durée de leur action/présence sur vos dents.
La plupart des systèmes de blanchiment des dents en ligne utilisent du bicarbonate de sodium ou des abrasifs doux comme ingrédients actifs de blanchiment. Leur rôle s’arrête à traiter et retirer les taches superficielles légères. Contrairement aux gels professionnels utilisés en clinique dentaire strictement, ils ne sont pas formulés pour pénétrer l’émail de la dent et décomposer les taches importantes ou incrustées.
Il faut prévoir généralement 45 minutes à 1 heure pour l’évaluation, la prise d’empreinte pour la gouttière et le blanchiment en soi, suivi d’un traitement à domicile qui varie entre 5 et 14 jours pour optimiser les résultats. Il est aussi possible d’effectuer 2 traitements en clinique si vous ne désirez pas effectuer le blanchiment à domicile. Le coût de 2 traitements cliniques est cependant supérieur à la combinaison «traitement en clinique + traitement à domicile».
La durée d’efficacité varie d’une personne à l’autre, selon à la fois l’hygiène bucco-dentaire (brossage, utilisation de la soie dentaire et nettoyages réguliers chez le dentiste) et vos habitudes de consommation (aliments, boissons, tabac, etc.). En d’autres termes, les raisons qui ont provoqué initialement la coloration de vos dents sont les mêmes qui impacteront la durée d’efficacité du blanchiment, si vous ne modifiez pas vos habitudes. Généralement, vous devriez jouir d’un éclat maximal de 1 à 2 ans, qui s’estompera progressivement jusqu’à 2 à 4 ans en l’absence de retouche en clinique ou à domicile.
Si vous possédez des restaurations (plombages), couronnes ou facettes, le blanchiment peut enlever les taches sans affecter la couleur d’origine de la réparation.
Il existe certains effets secondaires qui varient d’un patient à l’autre. Si vous suivez les directives d’utilisation des produits de blanchiment qui vous sont remis par votre dentiste Prisma, vous ne devriez connaître aucun effet secondaire significatif. Toutefois, certaines personnes plus sensibles pourraient ressentir une sensibilité temporaire au chaud ou au froid, de légère à aiguë, qui devrait s’estomper dans les quelques heures suivant l’arrêt du traitement. Aucune sensibilité à long terme n’est à prévoir.
Il est d’ailleurs possible de raccourcir ou d’espacer dans le temps la durée d’application des traitements à domicile. Votre dentiste pourrait aussi utiliser ou vous recommander, en parallèle, un agent de désensibilisation. Le fait de suivre avec discipline la règle 2-2-2 (présentée dans la section Entretien de votre sourire) devrait réduire aussi tout risque de sensibilisation aiguë. Enfin, durant les traitements, il est recommandé d’éviter les boissons gazeuses à saveur d’agrumes pour prévenir la sensibilité dentaire.
Dans la mesure où aucune étude clinique de longue durée n’a été effectuée à ce sujet, les produits de blanchiment des dents ne sont pas recommandés durant la grossesse.
Étapes du traitement
N.B. Un formulaire de consentement éclairé devra être signé avant de commencer tout traitement
dentaire.
1re étape: Formulaire à compléter
Un formulaire d’évaluation et de contrôle de qualité est rempli au début et à la fin du traitement. Son but est de recueillir à la fois vos informations médicales et dentaires ainsi qu’un survol de vos habitudes de vie, qui pourraient avoir un impact sur le blanchiment et les étapes de traitement à privilégier. Ce formulaire permettra également d’évaluer votre niveau de satisfaction quant au rendu final, pour guider
de futurs blanchiments, entre autres.
Étapes du blanchiment en clinique
Vous n’avez jamais fait de blanchiment en clinique dentaire et vous vous demandez un peu comment se déroule le tout? Voici un survol des 12 étapes habituelles qui exigent environ de 45 minutes à une heure.
- Le technicien dentaire détermine et enregistre la teinte préopératoire de vos dents, en utilisant le teintier correspondant.
- Si nécessaire, vos dents sont nettoyées avec de la pierre ponce pour les préparer.
- Une empreinte de vos dents est prise pour fabriquer une gouttière sur mesure à utiliser lors du blanchiment à domicile.
- Le technicien place des écarteurs dans votre bouche et enduit de vaseline toute partie de vos lèvres qui demeure exposée.
- Vos dents sont séchées et une barrière gingivale (faite de résine douce et confortable qui résiste au peroxyde d’hydrogène) est appliquée entre les dents et les gencives d’en haut et d’en bas pour les protéger.
- La barrière gingivale est photopolymérisée, c’est-à-dire qu’elle est durcie par la chaleur au moyen d’un petit appareil que le technicien balaie à l’intérieur de la bouche pendant 10 à 20 secondes à peine.
- Une fine couche de gel est appliquée directement sur toutes les dents à traiter, au moyen d’un petit applicateur.
- C’est le moment d’être patient! Le gel doit agir alors pendant 8 minutes.
- Le technicien aspire le gel à l’aide d’un appareil d’aspiration utilisé dans plusieurs autres traitements dentaires.
- Le technicien répète les étapes 7 à 9 au moins 3 fois, voire 4 au besoin, pour atteindre la blancheur désirée.
- Une fois la dernière application terminée, tout le gel est aspiré et retiré. Après vous avoir demandé de rincer, le technicien procède à une dernière aspiration et rinçage.
- Voilà! Le technicien enregistre la teinte finale (photo) pour votre dossier, à titre de rappel pour l’avenir.
Étapes du blanchiment à domicile
Pour une blancheur optimale, votre dentiste Prisma vous recommandera ensuite un blanchiment complémentaire à domicile. Pour ce faire, il vous remettra du gel blanchissant de marque POLA en deux formulations différentes, le POLA Day et le POLA Night. Les deux sont conçus grâce à la technologie PDT, une innovation qui aide à prévenir la sensibilité dentaire durant et après l’application.
Il est important d’utiliser les produits POLA au moment de la journée et de la nuit prévue, puisque leur agent blanchissant et leur concentration sont adaptés à la durée recommandée. Pendant la journée, le blanchiment s’effectue à l’aide de peroxyde d’hydrogène, plus intense et performant. La nuit, pour une action douce et lente, le gel contient plutôt du peroxyde de carbamide. Le POLA Night peut aussi être utilisé le jour pour les personnes souffrant déjà de sensibilité dentaire, alors parlez-en à votre dentiste Prisma.
À titre de comparaison:
1% de peroxyde d’hydrogène = environ 3% de peroxyde de carbamide
Formulations du traitement à domicile
| Pola Day (1 formulation) | Pola Night (2 formulations au choix) |
| Avec peroxyde d’hydrogène à 9,5% | |
| Avec peroxyde de carbamide à 16% | (ou) Avec peroxyde de carbamide à 22% |
Durée de l’application à domicile
| POUR LE JOUR: Pola Day | POUR LA NUIT: Pola Night |
| 2 x 15 minutes par jour | Si vous utilisez le gel 16%: De 90 minutes à la nuit entière (environ 8 heures) |
| (ou) 1 x 30 minutes par jour | Si vous utilisez le gel 22%: 1 x de 45 minutes à 2 heures maximum par jour |
Étapes d’application à domicile
- Mettez une petite goutte de gel dans chaque compartiment de la gouttière.
- Placez la gouttière avec le gel sur vos dents.
- Si vous avez mis trop de gel, retirez tout excès de gel dans la bouche avec un tissu ou une brosse à dents douce et sèche.
- Attendez xxx.
- Retirez la gouttière. Rincez la gouttière et votre bouche à l’eau tiède.
- Brossez vos dents avec l’une des pâtes dentifrices pour dents sensibles recommandées (voir la section Entretien de votre sourire).
Avantages et inconvénients
Avantages du blanchiment
Au-delà des bienfaits esthétiques et psychologiques liés à un sourire éclatant de blancheur, les avantages d’effectuer le blanchiment dentaire en clinique sont nombreux. Le traitement étant précédé d’une évaluation effectuée par votre dentiste, tout risque ou contre-indication liés à votre santé dentaire sont identifiés et votre dentiste peut vous conseiller les meilleurs soins pour vous. Si vous êtes un bon candidat, le blanchiment en clinique permet d’obtenir une progression plus rapide de plusieurs nuances en une seule visite.
Avantages du blanchiment
Certains patients peuvent développer une sensibilité des dents durant le traitement, au contact du chaud ou du froid. L’utilisation d’une pâte dentifrice désensibilisante permet généralement d’éliminer le problème. Quoique la gouttière est fabriquée sur mesure, une sensibilité aux gencives et aux tissus mous (joues, muqueuses) peut survenir si l’ajustement n’est pas optimal. Cet inconvénient peut être exacerbé si vous ne suivez pas les indications et si vous utilisez trop de gel dans la gouttière. Il faut éviter d’avaler le surplus de produit, au risque de provoquer une irritation de la gorge. Enfin, le port d’une gouttière empêche une occlusion parfaite durant le traitement en soi, ce qui peut provoquer des inconforts au niveau de l’articulation. La sensation devrait s’estomper une fois l’application terminée et la gouttière retirée.
Lors du blanchiment dentaire à domicile, quelle que soit la nature de l’inconfort, il est recommandé de
suspendre temporairement le traitement et de consulter votre dentiste Prisma.
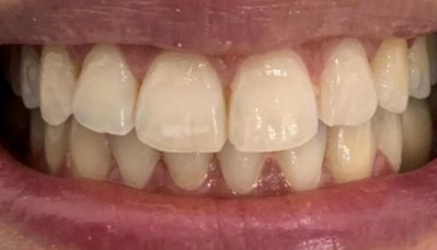
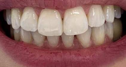
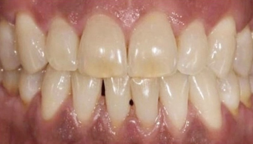
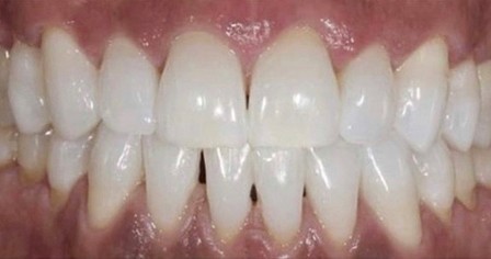
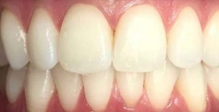
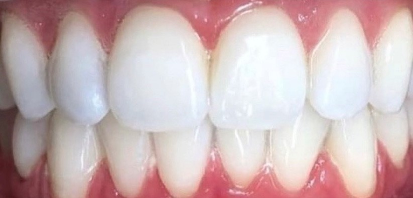
Avant et après : les résultats en photos






Entretien de votre sourire
Pour assurer la réussite de votre traitement de blanchiment et aider à prévenir la sensibilité dentaire, votre rôle est essentiel. Vous devez adopter et suivre les conseils d’hygiène buccale de votre dentiste Prisma, résumés ici à titre d’aide-mémoire.
Pâtes dentifrices avec nitrate de potassium
- Colgate pour dents sensibles
- Sensodyne RÉGULIER
- Sensodyne Pro Email
- PreviDent 5000 pour dents sensibles
- Crest Sensitive or Crest Sensi-Relief
La règle 2-2-2
Pour un traitement de blanchiment réussi, il existe une règle 2-2-2 facile à retenir et que vous devez respecter. En utilisant votre choix de pâte dentifrice désensibilisante, vous devez brosser vos dents comme suit:
2 semaines avant le début du traitement
2 fois par jour
2 minutes pour chaque brossage
Important: À chaque brossage, vous devez cracher, mais ne pas rincer, boire ni manger pendant les 30 minutes qui suivent.
Pour prévenir la sensibilité dentaire, il est même conseillé de suivre cette règle jusqu’à la fin du traitement de blanchiment. Ceci vous évitera d’oublier de sauter une application durant le traitement à domicile et de nuire à l’obtention d’un résultat optimal.
Étapes d’entretien recommandées
AVANT le blanchiment en clinique
Appliquer la règle 2-2-2 pour vous préparer au blanchiment dentaire en clinique.
PENDANT le blanchiment à domicile
Ne consommez aucun aliment, boisson ou épice très colorés tels café, thé, vin rouge, sauce tomate, sauce soya, betteraves, cari, moutarde, chocolat, etc. dans les 48 heures suivant l’application, car les pores de l’émail sont ouverts et tout pigment qui s’y incruste pourrait être impossible à déloger.
APRÈS le blanchiment
Vous pourrez recommencer à brosser vos dents avec votre pâte dentifrice habituelle immédiatement après la dernière application, en clinique ou à domicile. Vous devez par contre attendre 48 heures avant de reprendre vos habitudes alimentaires.
Autres traitements dentaires recommandés
On l’a vu, votre dentiste Prisma pourrait vous recommander des traitements préliminaires, parallèles ou complémentaires, afin d’obtenir un sourire d’une blancheur harmonieuse.
Si vous souffrez de retrait gingival, c’est-à-dire que vos gencives ont rétréci et exposé la base de vos dents, des traitements tels une chirurgie parodontale pour repositionner la gencive ou une légère obturation (de style plombage) pourraient être suggérés. En effet, comme noté plus haut, toute partie exposée de vos dents ne bénéficie pas d’une couverture naturelle d’émail, si bien que les agents blanchissants NE PEUVENT PAS AGIR sur leur coloration. Pour éviter un sourire deux-tons et obtenir un résultat d’un blanc uniforme, demandez conseil à votre dentiste Prisma.
Il se peut que votre dentiste vous suggère un blanchiment dentaire avant la pose de couronnes ou de facettes pour harmoniser le matériau à la nouvelle teinte de vos dents. Il est aussi possible qu’un blanchiment soit recommandé si vous faites réaligner vos dents, via la technologie d’orthodontie Invisalign, par exemple, pour obtenir le sourire de vos rêves. Enfin, si vous procédez à des réparations esthétiques sur des dents usées à l’avant et que vous prévoyez faire blanchir toutes vos dents, un blanchiment préalable aux réparations serait conseillé pour assurer, encore une fois, un rendu le plus harmonieux et intégré possible.
TESTER VOTRE FUTUR SOURIRE EN 2 VISITES DE SIMULATION
trousses d’information
TROUSSE INVISALIGN®
TROUSSE IMPLANTS
TROUSSE BLANCHIMENT DENTAIRE

