514 739-0097
info@drlechner.ca

Souriez avec confiance grâce à notre expertise en esthétique dentaire

Nos professionnels passionnés vous offrent des solutions sur mesure pour un sourire éclatant et harmonieux, synonyme de confiance et de bien-être.

Notre approche 1 2 3

Notre approche combine l’efficacité de trois solutions essentielles pour vous aider à retrouver votre plus beau sourire. Avec notre approche 1-2-3, retrouvez un sourire éclatant et confiant, sans compromis.

Blanchiment dentaire

Découvrez nos services simple et efficace pour un sourire éblouissant. Grâce à notre procédé professionnel de blanchiment dentaire, retrouvez des dents éclatantes de blancheur en toute sécurité.

invisalign

Avec Invisalign, bénéficiez d’un traitement discret et confortable pour corriger l’alignement de vos dents. Obtenez un sourire harmonieux et confiant, sans compromettre votre style de vie.

facettes/restauration

Retrouvez une esthétique dentaire impeccable. Offrant des solutions personnalisées, nous redonnons à vos dents leur éclat naturel et leur fonctionnalité, pour un sourire éblouissant et durable

Orthodontie/alignement

Découvrez notre approche novatrice pour un sourire parfaitement aligné et éclatant. Grâce à notre expertise en orthodontie et en alignement des dents, retrouvez une dentition harmonieuse et fonctionnelle.

TESTER VOTRE FUTUR SOURIRE

EN 2 VISITES DE SIMULATION

Création en harmonie avec la forme de votre visage et de votre personnalité de votre futur plus beau sourire qui changera votre vie

PROMOTION EN LIGNE
POUR SEULEMENT
750$
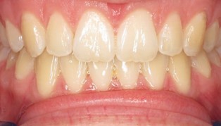
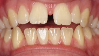
Avant
Après
Essayer par vous-même !

Dr François Lechner

Le Dr Lechner, fondateur de Prisma Dentistes, possède plus de 30 ans d’expérience. Spécialisé en esthétique dentaire, et en dentisterie générale, il s’est tourné vers le traitement des troubles du sommeil et de la dentisterie neuromusculaire. Diplômé de l’Université de Montréal, il partage sa vision distinctive et ses recherches novatrices avec ses pairs, tout en restant actif au sein d’associations professionnelles telles que l’Ordre des dentistes du Québec et l’American Academy of Dental Sleep Medicine.

Dr Lechner
Abderrazak (Zaki) Haridi
Directeur de l’expérience client

L’expérience client, notre priorité

Pour le Dr Lechner, l’expérience client joue un rôle crucial dans le domaine de l’esthétique dentaire et pour la satisfaction des patients. Dès le premier contact, Zaki s’assure de créer un environnement accueillant et rassurant. Les patients sont écoutés et compris, car chaque sourire est unique et mérite une attention particulière. Tout au long du traitement, la communication transparente est primordiale. Nous informons les patients sur les étapes, les techniques et les résultats attendus contribuent à instaurer une relation de confiance tout au long du traitement.

Ils nous ont fait confiance. On les remercie!