514 739-0097
info@drlechner.ca

Smile with confidence thanks to our expertise in dental aesthetics

Our passionate professionals offer you tailor-made solutions for a radiant, harmonious smile, synonymous with confidence and well-being.

Our 3 step approach

Our approach combines the effectiveness of three essential solutions to help you regain your most beautiful smile. With our 3 step approach, your smile will be brighter and more confident, without compromise.

Teeth whitening

Discover our simple and effective services for a dazzling smile. Thanks to our professional teeth whitening process, you’ll be able to restore your radiant white teeth in complete safety.

invisalign®

With Invisalign, enjoy discreet, comfortable treatment to correct the alignment of your teeth. Achieve a harmonious, confident smile, without compromising your lifestyle.

veneers/restoration

Restore impeccable dental aesthetics. Offering customized solutions, we restore your teeth’s natural radiance and functionality, for a dazzling, long-lasting smile.

Orthodontics/alignment

Découvrez notre approche novatrice pour un sourire parfaitement aligné et éclatant. Grâce à notre expertise en orthodontie et en alignement des dents, retrouvez une dentition harmonieuse et fonctionnelle.

TEST YOUR FUTURE SMILE

IN 2 SIMULATION VISITS

Designing your future, most beautiful smile in perfect harmony with the shape of your face and your personality— a smile that will transform your life

ONLINE PROMOTION
FOR ONLY
$750
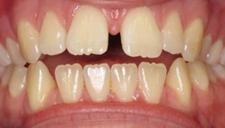
Before
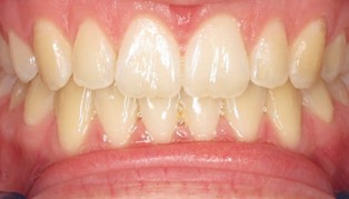
After
Try it for yourself!

Dr François Lechner

Dr Lechner, founder of Prisma Dentistes, has over 30 years’ experience. Specializing in esthetic dentistry and general dentistry, he has turned his attention to the treatment of sleep disorders and neuromuscular dentistry. A graduate of the Université de Montréal, he shares his distinctive vision and innovative research with his peers, while remaining active in professional associations such as the Ordre des dentistes du Québec and the American Academy of Dental Sleep Medicine.

Dr Lechner
Abderrazak (Zaki) Haridi
Customer experience director

The customer experience, our priority

For Dr. Lechner, customer experience plays a crucial role in the field of dental aesthetics and for patient satisfaction. From the first contact, Zaki makes sure to create a welcoming and reassuring environment. Patients are listened to and understood, because each smile is unique and deserves special attention. Throughout the treatment, transparent communication is essential. We inform patients about the steps, techniques and expected results helps to establish a relationship of trust throughout the treatment.

They put their trust in us. We thank them!