Facette et restauration
Retrouvez la beauté de votre sourire
Fruits de connaissances toujours plus modernes et efficaces, les restaurations dentaires dites «esthétiques» permettent de créer ou de retrouver le sourire. Grâce aux nouvelles technologies fonctionnant à l’aide de vidéos, de photographies et de maquettes 2D/3D temporaires, il est aussi possible aux dentistes de vous offrir des prothèses qui assurent une relation maximale entre les lèvres, les gencives et les dents. Les rendus 3D et virtuels à la disposition des patients leur permettent de visualiser leur nouveau sourire à l’avance, voire facilitent leur prise de décision.
Le choix de restaurations entre facette, couronne ou pont se base sur l’état de la dentition et de la santé du patient, ainsi que sur la nature de l’amélioration ou du remplacement souhaité.
Choisissez votre plus beau sourire avec les conseils du Dr Lechner
La forme de vos dents
Vous pouvez choisir les différentes formes de dents qui vous conviennent le mieux. 12 options d’arrangements des formes de dents les plus connues.
La couleur des facettes
Les facettes dentaires sont conçues dans différentes nuances de blanc pour s’adapter aux besoins esthétiques de chaque personne. Les teintes de blanc utilisées pour les facettes dentaires sont classées en utilisant le système de notation de couleur Vita (Vita Classical Shade Guide) ou le système de notation de couleur de l’American Academy of Cosmetic Dentistry (AACD).
- Blanc très clair et lumineux
- Blanc une peu foncé et naturelle
- Blanc un peu teinté de jaune pour de chaleur et de naturelle
- Blanc avec une teinte légèrement grise, pour un aspect plus frais.
- Blanc avec des nuances plus foncées et plus pigmentées, pour un aspect plus coloré et plus naturel
L’opacité des facettes
Dans le but d’obtenir un résultat le plus naturel possible, 4 options d’opacité sont disponibles
- Ferme 90% d’opacité
- Universelle ferme 85% d’opacité
- Luisante 80% d’opacité
- Clair 50% d’opacité
Survol des différents traitements
Facettes
Pour restaurer des dents tachées, décolorées, déformées ou légèrement détériorées par l’usure, les facettes de porcelaine sont une technique de restauration populaire auprès des patients adultes de tout âge. Ces minces coquilles viennent recouvrir le devant des dents et servent à en corriger le contour, la couleur et les dimensions pour améliorer encore plus l’apparence de votre sourire. Cette restauration est de plus en plus en demande, puisqu’elle permet d’obtenir des dents plus blanches, sans défauts de couleur ou de forme. Les facettes sont fabriquées soit en porcelaine, soit en composite. Votre dentiste vous recommandera le meilleur matériau pour vous, en considérant, par exemple, la possibilité de devoir poser une couronne sur une dent adjacente déjà fragilisée, etc.
Quand choisir des facettes?
Quand la forme ou la couleur d’une dent est très altérée et s’intègre mal dans l’esthétique de la bouche ou du sourire, des restaurations en composite (comme un plombage blanc) ne peuvent masquer tous les défauts. Les facettes peuvent atteindre une intégration visuelle parfaite et harmonieuse, tout en étant moins invasives que des couronnes. En effet, les facettes collées ont moins d’impact sur les parties saines de la dent, impactent moins la vitalité pulpaire et sont plus biocompatibles que des alliages métalliques.
Cette technologie produit d’excellents résultats aussi esthétiques que mécaniques. En termes d’esthétique, les facettes permettent d’obtenir une grande ressemblance avec les dents naturelles, un atout important. En matière de longévité, elles ont démontré un taux élevé de succès et de stabilité à moyen et long terme.
Couronne
Une couronne est une restauration qui recouvre entièrement une dent endommagée — que ce soit par l’usure, un accident ou une carie — et qui imite la forme de la dent remplacée. Le dentiste doit tailler une partie de la dent naturelle pour faire place à la couronne, qui vient protéger la dent naturelle et lui redonner sa couleur et sa forme originales. Il existe trois types de matériaux utilisés dans la fabrication de couronnes:
- couronne de métal
- couronne de céramique
- alliage céramométallique (combinant céramique et métal)
Quand avez-vous besoin d’une couronne?
Votre dentiste vous recommandera une couronne pour l’une des raisons suivantes:
- Pour recouvrir et soutenir une dent encore saine lorsqu’un plombage devient trop gros.
- Pour protéger une dent affaiblie par une carie, l’usure, etc. contre le risque d’un bris.
- Pour restaurer une dent cassée ou gravement usée.
- Pour recouvrir une dent sévèrement décolorée, suite à un traitement de canal, par exemple.
- Pour redonner sa fonctionnalité et son apparence à une dent mal formée.
- Pour servir de pilier adjacent à un pont fixe ou papillon.
- Pour recouvrir la racine suite à l’installation d’un implant ou d’un pivot.
Pont fixe
Il est important de remplacer une dent qui est extraite. Le pont fixe est l’une des options s’offrant aux patients qui ont subi l’extraction ou la perte d’une ou de plusieurs dents. Ce type de pont permet de prévenir le déplacement et l’éventuel déchaussement des autres dents; il favorise la mastication et donc la digestion; il conserve l’esthétique du sourire; et il prévient les problèmes aux articulations temporo-mandibulaires.
Si une seule dent a besoin d’être remplacée, deux choix s’offrent au patient :
- Un pont conventionnel formé de couronnes soudées les unes aux autres et cimentées aux piliers (pivots et couronnes) du pont pour le maintenir en place. Un traitement de canal devra être envisagé pour toute dent pilier adjacente déjà fragilisée.
- Un pont papillon qui est supporté par des ailerons métalliques fixés aux dents adjacentes. Moins solide que le pont conventionnel, il permet par contre de mieux préserver les dents qui lui servent de piliers.
Lors de la fabrication d’un pont fixe, le patient devra porter un pont temporaire afin de protéger immédiatement ses dents et ses gencives. Le pont temporaire empêchera les dents piliers de se déplacer et conservera la capacité masticatoire et phonatrice du patient. Le pont temporaire aide aussi à la conception du pont définitif, en permettant de tester au préalable sa fonction et son esthétique.
Étapes du traitement
Un formulaire de consentement éclairé devra être signé avant de commencer l’un ou l’autre des traitements qui suivent.
Facettes
Le plan de traitement relié aux facettes peut changer d’un patient à l’autre, puisque le but recherché en est un d’esthétique globale de la bouche et du sourire. Divers paramètres influent sur les choix et les étapes, comme:
- l’âge du patient, puisque nos dents deviennent plus foncées avec l’âge
- la coloration naturelle des dents, qui peut aller de jaunâtre à grisâtre
- la position et l’alignement de la dent à corriger
- l’endroit où la dent est décolorée, le cas échéant
- l’occlusion de la bouche
- la santé des gencives
- le désir de conserver les tissus existants (parties saines de la dent), etc.
Enfin, la volonté du patient d’entretenir une routine d’hygiène buccale, incluant des nettoyages réguliers chez le dentiste, sera un des facteurs à succès (ou non) des facettes à moyen et long terme.
Smile TrialMC et Digital Smile DesignMC
Examen initial
Votre dentiste procédera à un examen avec prises de radiographies et numérisation 3D (scan) de votre bouche, pour évaluer l’état et le positionnement de la dent à restaurer, ainsi que l’harmonie avec les dents adjacentes. L’état des gencives autour de la dent est aussi à considérer et votre dentiste pourrait recommander de débuter les traitements par une reconfiguration préalable de la gencive au moyen d’une chirurgie parodontale, d’une greffe gingivale ou autre.
Votre dentiste procédera à une prise de rendus 3D photos et/ou vidéos de votre visage, afin de surimposer les restaurations prévues et de donner un aperçu approximatif mais réaliste du rendu final sur votre physionomie.
Premier essayage — après 2 à 3 semaines
Cette étape sera suivie par la fabrication en laboratoire externe d’un modèle pour prédiction 2D/3D, ajustement et approbation avant la fabrication robotisée de la couronne ou facette (restauration) finale.
Préparation de la ou des dents – semaine 4
Préparation de la dent
La position de la dent dans la bouche et des considérations esthétiques peuvent amener le dentiste à préparer la dent qui recevra une restauration, par exemple en taillant la dent. Si celle-ci est trop endommagée, ou qu’il y a trop de douleur ou d’inflammation, votre dentiste peut recommander un traitement de canal au préalable, avec l’installation d’un pivot cimenté dans la racine pour asseoir la restauration. La préparation de la ou des dents se fait sur la base de la prédiction 2D/3D lors de la visite précédente.
Couronne temporaire
L’installation d’une couronne temporaire est importante et contribue au succès final du traitement. Cette couronne sera cimentée afin d’assurer assez de solidité, tout en pouvant être retirée aussi souvent que requis durant les étapes de traitement. La couronne temporaire a plusieurs rôles. Elle permet:
- de protéger la dent et les gencives contre les dangers mécaniques (mastication ou autre), le risque d’infection buccale, etc;
- d’empêcher les dents voisines de bouger ou se déplacer;
- de préserver la capacité de mastiquer et de parler;
- d’aider à la conception de la couronne finale;
- de permettre de tester le fonctionnement et l’apparence de la couronne finale, et d’ajuster sa fabrication en conséquence.
Couronne finale et contrôle – semaine 6
L’essayage et l’installation de la couronne finale s’effectuent sur réception de la prothèse provenant du laboratoire extérieur. Si le résultat est satisfaisant pour tous, la couronne est cimentée de façon définitive. Si un problème est détecté, la couronne finale est retournée pour ajustement et la couronne temporaire est remise en place.
Visites de contrôle – semaine 8 et suivantes
Une radiographie de vérification est prise pour s’assurer que l’adaptation est correcte. Il arrive que le patient ressente une sensibilité temporaire après l’installation, dont les causes sont vérifiées durant cette visite. Si la sensibilité venait à perdurer, un traitement de canal pourrait être envisagé et recommandé.
Pont fixe
Examen initial
Le dentiste effectue un bilan médical incluant un examen clinique et une prise de radiographie(s). L’état des gencives est examiné, autant sous la dent manquante ou à extraire que sous les dents adjacentes qui serviront de piliers, afin de déterminer la quantité de tissus mous disponibles. En cas de problèmes de retrait des gencives et autres maladies parodontales, une recommandation de reconfiguration et de chirurgie aurait lieu à cette étape.
Préparation des dents
La dent pilier est taillée et préparée pour l’installation de couronnes et/ou de pivots. Si la dent pilier est trop endommagée, un traitement de canal pourrait être envisagé à cette étape. Pour asseoir la couronne de la dent pilier du pont, l’installation d’un pivot cimenté dans la racine de cette dent fait partie de la préparation.
Pont temporaire – phase de temporisation
Lors de la fabrication d’un pont fixe, le patient devra porter un pont temporaire afin de protéger immédiatement ses dents et ses gencives. Le pont temporaire empêchera les dents piliers de se déplacer et conservera la capacité de bien mastiquer et parler. Le pont temporaire aide aussi à la conception du pont définitif, en permettant de tester sa fonction et son esthétique. Le pont temporaire est cimenté pour éviter une perte ou une chute, tout en permettant au dentiste de le retirer aussi souvent que nécessaire pour procéder aux étapes d’essayage et d’ajustement du pont final, au traitement de dents piliers, etc.
Pont final et contrôle – semaine xxx
L’essayage et l’installation du pont final s’effectuent sur réception de la prothèse provenant du laboratoire extérieur. Si le résultat est satisfaisant pour tous, le pont est cimenté sur la ou les dents piliers de façon définitive. Si un problème est détecté, le pont final est retourné pour ajustement et le pont temporaire est remis en place.
Visites de contrôle – semaine 2-4 et autres
Une radiographie de vérification est prise pour s’assurer d’une adaptation correcte. Il arrive que le patient ressente une sensibilité temporaire après l’installation, dont les causes sont vérifiées durant cette visite. Si la sensibilité venait à perdurer, divers traitements pourraient être envisagés, comme un traitement de canal sur la dent pilier, etc.
Avantages, risques et inconvénients
Avantages et désavantages des facettes
Les facettes sont privilégiées si le patient possède de multiples dents colorées, suite à la prise de médicaments. Elles sont aussi une bonne solution pour tout défaut de l’émail comme la décalcification, l’usure prématurée du contour de la dent, l’échec de plombages sur les dents avant ou pour «fermer» des dents espacées ou avec le fameux «triangle noir» près de la gencive.
Les facettes comportent aussi des désavantages. En général, elles sont contre-indiquées en cas d’usure ou de chevauchement extrême, de problèmes de structure dentaire ou en présence d’habitudes buccales qui nuisent au fonctionnement normal, comme un bruxisme non traité. Contrairement à une obturation (plombage), elles nécessitent plus d’un rendez-vous et peuvent augmenter l’usure des dents opposées du haut ou du bas. Les facettes en porcelaine ont moins de force qu’une couronne 3/4 ou complète. Enfin, elles ne conviennent pas aux patients à la recherche de traitements réversibles.
Lors de toute chirurgie future où le patient pourrait être intubé, cette intubation devra se faire par le nez et non la bouche, afin de ne pas endommager les facettes. Assurez-vous de le mentionner dans le questionnaire médical pré-opératoire remis par l’établissement de santé.
Avantages et désavantages des couronnes
L’installation d’une couronne pose un risque mécanique avec des conséquences différentes, selon le cas. Il peut arriver qu’une couronne se descelle et se mette à bouger avec le temps, sans fracture comme cause ou conséquence. Un rescellement ou une recimentation peut généralement s’effectuer sans problème. Si le descellement est dû à une carie ou un manque d’adaptation, il se peut que la couronne doive être refaite. Au moment d’aménager la couronne sur la racine, incluant l’installation d’un pivot, une fracture radiculaire peut survenir et forcer généralement l’extraction de la dent. Le matériau de la dent, comme la céramique, peut briser pour diverses raisons (usure, bruxisme, carie, accident de mastication, etc.).
Enfin, si un inconfort postopératoire est à prévoir, comme pour toute chirurgie, une douleur postopératoire prolongée sur une dent vitale pourrait nécessiter un traitement de canal. Enfin, il est possible que la dent «meure» lors de la taille préalable pour aménager la couronne.
La durée de vie moyenne d’une couronne est estimée à 10 ans, à condition que le patient conserve une bonne hygiène buccale. Lors de toute chirurgie future, où le patient pourrait être intubé, cette intubation devra se faire par le nez et non la bouche, afin de ne pas endommager la couronne. Assurez- vous de le mentionner dans le questionnaire médical pré-opératoire remis par l’établissement de santé.
Avantages et désavantages des ponts fixes
Le pont fixe a pour avantage de faciliter la capacité de mastiquer et de parler du patient, en plus de préserver une esthétique normale du sourire. Il permet aussi d’éviter le déplacement des dents adjacentes et une dégradation des tissus mous de la gencive. Par contre, le traitement de préparation des dents piliers adjacentes augmente le risque de carie et de traitement endodontique. C’est pourquoi une hygiène dentaire disciplinée est requise.
En présence d’une dent cassée devant être extraite avant la mise en place d’un pont, la première étape consiste en une extraction qui présente certains inconforts temporaires: enflure de la joue ou ecchymose temporaires (7 à 10 jours), douleur postopératoire ou saignements légers.
Lors de toute chirurgie future, où le patient pourrait être intubé, cette intubation devra se faire par le nez et non la bouche, afin de ne pas endommager le pont. Assurez-vous de le mentionner dans le questionnaire médical pré-opératoire remis par l’établissement de santé.
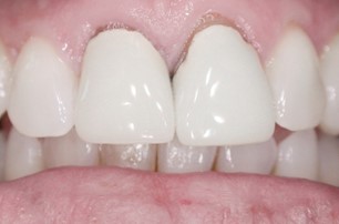
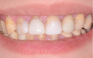
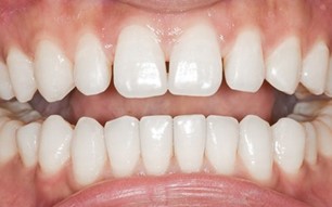
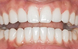
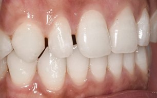
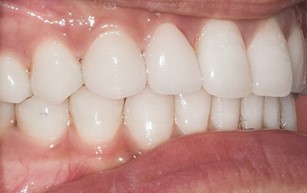
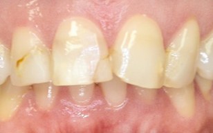
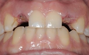
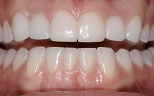
Avant et après : les résultats en photos














Entretien des restaurations
Comme les dents qu’ils remplacent, les facettes, les couronnes et les ponts fixes doivent être bien entretenus. Cela implique que les patients doivent respecter une excellente hygiène buccale et suivre une routine de visites régulières chez leur dentiste.
Lors de visites bisannuelles, votre dentiste Prisma pourra vérifier l’état des restaurations et les détartrer en même temps que vos dents naturelles. Ceci permettra d’éviter toute accumulation de plaque bactérienne qui peut entraîner des complications, voire l’échec du traitement. Par exemple, l’accumulation de plaque bactérienne qui se faufile sous la gencive peut causer des cratères autour des restaurations. La parodontie, une maladie qui se manifeste par une perte d’os supportant les dents et les implants, peut conduire à la perte des restaurations.
Autres traitements dentaires recommandés
On l’a vu, votre dentiste Prisma pourrait vous recommander divers soins en préparation d’une facette, couronne ou pont à installer, comme un traitement de canal ou une chirurgie parodontale (des gencives). Un blanchiment avant la pose pour harmoniser votre dentition ou une plaque occlusale pour prévenir le grincement des dents sur les facettes font aussi partie de traitements à discuter.
Blanchiment dentaire
Une solution complémentaire efficace pour maximiser l’éclat de votre nouveau sourire, un blanchiment dentaire pour rectifier la décoloration ou le jaunissement des dents peut être effectué à la clinique Prisma et/ou à domicile.
Le blanchiment des dents réalisé en clinique représente une solution durable et peu intrusive. Une progression de plusieurs nuances est possible en une seule visite, grâce à l’utilisation de gels professionnels qui contiennent des ingrédients actifs d’éclaircissement combinés à des molécules d’oxygène. Résultat, ces gels pénètrent au travers de l’émail pour séparer les molécules responsables du changement de couleur et éclaircir les dents. L’efficacité est instantanée.
Plaque occlusale
Le bruxisme, communément appelé le «grincement des dents», survient pendant la journée ou la nuit, quoiqu’il est plus fréquent durant le sommeil, et donc plus difficile à contrôler. En termes d’esthétique dentaire, il a pour impact de provoquer entre autres une usure de la dentition, qui peut aller jusqu’à des fractures de vos dents ou de vos restaurations (plombages, facettes, couronnes, etc.)
Pour prévenir de tels dommages, votre dentiste Prisma pourrait vous recommander le port d’un protecteur dentaire ou plaque occlusale, fabriqué sur mesure selon votre dentition.
TESTER VOTRE FUTUR SOURIRE EN 2 VISITES DE SIMULATION
trousses d’information
TROUSSE INVISALIGN®
TROUSSE IMPLANTS
TROUSSE BLANCHIMENT DENTAIRE


