INVISALIGN
Le sourire de vos rêves, enfin et à tout âge !
Vous ne désirez pas afficher un sourire métallique durant plusieurs mois? Les dentistes généralistes chez Dr Lechner peuvent procéder au réalignement de vos dents de façon confortable grâce aux appareils d’orthodontie transparents et amovibles INVISALIGNMD.
Les questions les plus fréquentes sur Invisalign
Le système Invisalign est un moyen quasi invisible de redresser les dents à l’aide d’une technologie de pointe d’imagerie 3D par ordinateur. Invisalign permet d’illustrer votre plan de traitement complet de la position initiale de vos dents à la position finale souhaitée. Une série de gouttières transparentes (aussi appelées «aligneurs») est ensuite fabriquée sur mesure pour s’adapter uniquement à vos dents et les déplacer petit à petit.
Les aligneurs Invisalign permettent de déplacer les dents par l’application contrôlée d’une tension sur vos dents. Invisalign permet non seulement de contrôler la tension, mais également le moment d’application de cette tension. Les déplacements sont déterminés par votre dentiste lorsqu’il ou elle établit votre plan de traitement Invisalign personnalisé. Invisalign vous a été recommandé par votre dentiste Prisma suite à un diagnostic de malocclusion (voir la section plus bas pour les divers types de malocclusion et leurs conséquences sur la santé de votre bouche et de vos dents).
Depuis la fondation en 1997 d’Align Technology, la société qui fabrique Invisalign, plus de 4 millions de patients dans le monde ont reçu un traitement par Invisalign — un nombre qui ne fait qu’augmenter chaque année.
Les aligneurs Invisalign sont quasi invisibles pour s’intégrer discrètement à votre mode de vie. Ils sont amovibles. Vous pouvez donc manger et boire ce que vous voulez, en retirant tout simplement les aligneurs. Vous pouvez également les retirer pour vous brosser les dents et passer la soie dentaire comme vous le feriez en temps normal. Dans la plupart des cas, il n’y a pas de bague ni de fil métallique provoquant de l’irritation dans votre bouche.
Grâce à l’imagerie numérique, vous pouvez voir votre plan de traitement et vos résultats virtuels avant de commencer le traitement pour visualiser l’apparence de vos dents droites après la fin du traitement.
Invisalign peut être recommandé à tout âge, tant que votre dentiste Prisma a procédé à un examen et juge que vous êtes un candidat approprié.
La durée du traitement dépend de la gravité de votre cas et ne peut être établie que par votre dentiste Prisma. Cependant, la durée moyenne de traitement initial est d’environ 12 à 18 mois. Par la suite, le port d’un appareil de rétention est recommandé et peut aller jusqu’à une nuit sur deux, à vie.
En raison des variations importantes entre les différents régimes d’assurance, vous devez analyser votre régime personnel. En général, si le régime d’assurance d’un patient couvre les soins orthodontiques, Invisalign devrait être couvert au même titre que les appareils orthodontiques habituels (broches).
Les aligneurs Invisalign sont classés comme un dispositif médical de classe 2 par la Food and Drug administration (FDA) des États-Unis qui les autorise à la vente.
Survol du traitement Invisalign
Votre traitement Invisalign combine le diagnostic et la prescription de votre dentiste avec une technologie d’infographie sophistiquée, le tout pour développer un plan de traitement qui spécifie les mouvements souhaités de vos dents au cours et après le traitement. Suite à votre approbation du plan de traitement élaboré par votre dentiste, une série d’aligneurs Invisalign personnalisés est produite spécifiquement pour votre problématique. La procédure habituelle pour tout traitement Invisalign comprend les étapes suivantes.
Procédure avant et pendant le traitement
- Votre dentiste Prisma procédera à un examen de type prétraitement orthodontique de routine comprenant des photographies et quatre radiographies (panoramique et céphalométriques) avant et après traitement.
- Deux simulations permettant de visualiser le résultat final seront réalisées:
- une simulation initiale sans photo et prétraitement pour expliquer la technologie Invisalign et les résultats auxquels vous pouvez vous attendre; et
- une simulation numérique (2e visite, après entente de traitement) avec caméra 3D intra- orale et photos digitales pour une évaluation détaillée de la structure de votre bouche. Cette deuxième simulation permet aussi l’analyse de la relation entre vos dents, vos gencives, vos lèvres ainsi que de la gestuelle naturelle de votre sourire afin de vous assurer un résultat fidèle à vos attentes.
- Votre dentiste prendra des empreintes ou des scans intra-oraux de vos dents et les enverra avec une ordonnance au laboratoire Align. Les techniciens d’Align suivront la prescription de votre dentiste pour créer un modèle logiciel ClinCheck® du traitement prescrit.
- Après l’approbation du plan de traitement ClinCheck par votre dentiste et vous, Align produira et expédiera une série d’aligneurs personnalisés à la clinique dentaire. Le nombre total d’aligneurs variera en fonction de la complexité de votre malocclusion et du plan de traitement de votre dentiste.
- Les aligneurs seront numérotés individuellement et vous seront délivrés par votre dentiste avec des instructions d’utilisation spécifiques.
- Sauf indication contraire de votre dentiste Prisma, vous devez porter vos aligneurs pendant environ 20 à 22 heures par jour, en les retirant uniquement pour manger, brosser et passer la soie dentaire.
- Vous passerez au prochain aligneur de la série toutes les deux semaines ou selon les directives de votre dentiste. La durée du traitement varie en fonction de la complexité de la prescription de votre dentiste.
- Sauf indication contraire, vous devez faire un suivi avec votre dentiste au moins toutes les 6 à 12 semaines.
Suivis après le réalignement
Afin de s’assurer que vos dents resteront alignées pour la vie, le port d’un appareil de rétention suivra votre traitement Invisalign selon les directives suivantes:
| APPAREIL | HEURES | DURÉE |
| Traitement Invisalign (redressement) | 22 h sur 24 | À déterminer |
| Appareil de rétention | 12 à 15 h par jour | 0 à 18 mois suivant le traitement |
| Appareil de rétention | 11 nuit sur 2 | À vie |
Autres Considérations
À noter, certains patients peuvent nécessiter des attaches esthétiques collées et/ou l’utilisation d’élastiques pendant le traitement pour faciliter des mouvements orthodontiques spécifiques. D’autres peuvent avoir besoin d’impressions supplémentaires ou de scans intra-oraux et/ou d’aligneurs de raffinement après la série initiale d’aligneurs.
Avantages et inconvénients
Tout traitement dentaire et médical comporte sa part de bienfaits et d’inconvénients d’une personne à l’autre et selon l’état de santé général, la prise de médicaments, etc. La relation entre le port d’aligneurs et les restaurations existantes dans la bouche nécessite une évaluation cas par cas, notamment en présence d’implants dentaires, d’importants plombages, de couronnes, etc. Certaines dents pourraient aussi nécessiter un remodelage interproximal ou un amincissement afin de créer l’espace nécessaire à l’alignement dentaire. Votre dentiste Prisma dressera donc un diagnostic préalable de la santé de vos os et de vos gencives, susceptible d’être altérée par le port d’Invisalign et vous fera ses recommandations en conséquence.
Voici quelques-uns des avantages et inconvénients à considérer avant d’entamer le traitement Invisalign.
Certains avantages
Invisalign est une solution recherchée pour ceux qui ne veulent pas porter un appareil orthodontique très visible, que ce soit pour des raisons personnelles, professionnelles ou esthétiques. Invisalign permet de redresser les dents des patients de tous âges et est donc accessible à un vaste public.
En plus d’être largement invisibles, les aligneurs Invisalign ne comportent pas de fils métalliques ou de supports associés aux traitements conventionnels. Étant amovibles, ils permettent d’effectuer un brossage normal et de passer la soie dentaire, deux tâches généralement gênées par le port de broches conventionnelles. Certains patients, en améliorant ainsi leurs habitudes d’hygiène bucco-dentaire, peuvent même remarquer une amélioration de la santé parodontale (gencives) parallèlement au traitement.
Certains inconvénients
Le fait de conserver de mauvaises habitudes de vie, durant le port d’aligneurs Invisalign comme en tout temps, peut exacerber le risque de caries dentaires, de maladie parodontale, d’inflammation des gencives ou de décalcification. Il est important pour le patient d’éviter de consommer trop d’aliments ou de boissons contenant du sucre, de se brosser les dents et de passer la soie dentaire régulièrement, et de conserver une bonne hygiène bucco-dentaire incluant des nettoyages et des entretiens préventifs.
Pour certains patients, le port des aligneurs peut provoquer une sensibilité dentaire lors du passage à l’aligneur suivant de la série, ou peut irriter temporairement les gencives, les joues et les lèvres. Les dents pouvant changer de position après le traitement, le port régulier des dispositifs de rétention à la fin du traitement sert à réduire cette tendance. Les aligneurs peuvent affecter temporairement la parole et entraîner un zézaiement, des troubles de la parole qui devraient disparaître en une à deux semaines. Les aligneurs peuvent provoquer une augmentation temporaire de la salivation ou de la sécheresse buccale, certains médicaments pouvant accentuer cet effet.
L’occlusion peut changer au cours du traitement et entraîner une gêne temporaire pour le patient, jusqu’à nécessiter un ajustement occlusal à la fin du traitement. Dans de rares cas, des problèmes peuvent également survenir dans l’articulation de la mâchoire, provoquant des douleurs articulaires, des maux de tête ou des problèmes d’oreille.
Enfin, le fait de ne pas porter les appareils pendant le nombre d’heures requis par jour, de ne pas utiliser le produit comme indiqué ou de sauter des rendez-vous avec votre dentiste peut prolonger la durée du traitement et nuire à l’obtention des résultats souhaités.
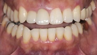
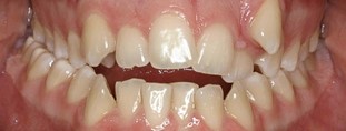
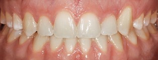
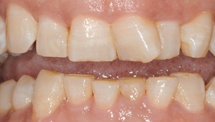
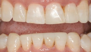
Avant et après: les résultats en photos
À quoi ressemble un résultat type après un traitement d’orthodontie Invisalign? Voici quelques photos avant-après de patients réels de la clinique Prisma.
Au-delà du réalignement dentaire, certains patients peuvent avoir besoin de traitements ou de restaurations supplémentaires — avant ou après — afin de réparer des dents usées, par le chevauchement par exemple. Pour les autres traitements dentaires souvent recommandés parallèlement au traitement Invisalign, veuillez consulter la section “Notre approche en 3 étapes: Autres traitements dentaires recommandés“.
.








Problèmes dentaires courants: problématiques et conséquences
Conséquences générales d’une malocclusion
Plusieurs problèmes peuvent survenir en présence d’une malocclusion, c’est-à-dire une relation anormale entre les dents (espacement, chevauchement, position anormale) ou la façon dont les mâchoires du haut et du bas s’insèrent l’une dans l’autre quand vous fermez la bouche. La difficulté de brosser toutes les surfaces des dents et de passer la soie dentaire est commune à plusieurs de ces problématiques. S’ensuivent une prolifération de bactéries et l’apparition de plaque avec les impacts que l’on sait:
- Caries dentaires
- Maladie parodontale
- Mauvais soutien de la racine et progression de la perte osseuse
- Mobilité des dents
- Abcès
En soi, la malocclusion peut aussi entraîner des problèmes structuraux et médicaux avec le temps, quel que soit le type de problématique. La malocclusion peut entraîner ou faire apparaître:
- Traumatisme occlusal – abfractions
- Usure non uniforme, ébrèchement
- Problèmes gingivaux, parodontaux, déchaussement, perte osseuse
- Chevauchement des dents qui s’accentue avec le temps s’il n’est pas traité
Au-delà et incluant les impacts globaux communs à toutes les malocclusions, voyons les problèmes particuliers liés à chaque type de malocclusion, à même d’être réglé ou soulagé par le réalignement orthodontique Invisalign.
Symptômes potentiels du patient
- Sensibilité. Décoloration des dents dans les endroits où les dents se chevauchent.
- Inflammation et saignement des gencives
- Hypersensibilité des dents en raison de l’usure
- Déchaussement
- Dents qui branlent
Symptômes potentiels du patient
- Tissu douloureux, sensible
- Inflammation et saignement des gencives
Symptômes potentiels du patient
- Déchaussement
- Usure anormale des dents
Symptômes potentiels du patient
- Dents antérieures ébréchées/fracturées
- Le patient se plaint de son sourire peu esthétique
Symptômes potentiels du patient
- Sensibilité accrue
- Abfraction
- Dents postérieures qui branlent
- Mordre ses propres lèvres et joues en mangeant ou en parlant
Symptômes potentiels du patient
- Usure anormale — les dents antérieures sont courtes ou usées
- Hypersensibilité des dents
Symptômes potentiels du patient
- Usure anormale des dents postérieures
- Petite entaille dans les dents le long du rebord gingival
- Déchaussements
- Dents qui branlent
Entretien des appareils
L’un des avantages Invisalign les plus appréciés des patients est sans nul doute le fait que les aligneurs sont amovibles et peuvent être retirés pour manger ou se brosser les dents. Afin d’assurer le bon fonctionnement et l’efficacité du traitement, un entretien de base et certaines habitudes de vie sont à adopter pour maintenir les aligneurs Invisalign en bonne condition.
Au quotidien :
- Chaque matin, brossez soigneusement vos aligneurs à l’aide d’une brosse à dents souple ordinaire en utilisant un savon liquide antibactérien et de l’eau froide ou tiède, puis rincez-les. Vous pouvez aussi utiliser un nettoyant pour appareil orthodontique (p. ex. Novadent Ultra doux IP). N’utilisez pas de nettoyants pour prothèses dentaires, car ils peuvent être trop puissants, ni de Purell à base d’alcool. Attention : Ne pas nettoyer les aligneurs à l’eau chaude ou bouillante, qui peut provoquer une distorsion dans le matériau de résine.
- L’immersion quotidienne de l’aligneur dans l’eau n’est ni nécessaire ni recommandée. L’eau peut tacher la surface de la résine en laissant des dépôts minéraux. Les rince-bouches alcoolisés et l’eau de Javel peuvent pénétrer dans le matériau de la résine et votre appareil peut absorber les odeurs des solutions nettoyantes.
- Si désiré, vous pouvez utiliser un nettoyeur à ultrasons chaque semaine. Vous devrez tout de même suivre les directives de base ci-dessus.
- Vous devez porter votre appareil 22 heures sur 24.
- Des Chewies vous seront remis pour s’assurer que les aligneurs Invisalign soient bien ajustés sur vos dents. Mastiquez ces Chewies pendant 10 minutes à raison de 3 fois par jour (ou mangez avec les aligneurs en bouche).
- Si les aligneurs vous causent une certaine irritation sur les gencives ou sur la langue, utilisez une lime Émery et limez légèrement l’aligneur à cet endroit précis.
- Évitez certains aliments dont la moutarde, les épices et les huiles colorées, le vin rouge et les petits fruits (framboises, bleuets, etc.) qui tachent les aligneurs Invisalign.
Transport et entreposage
- Gardez toujours les aligneurs Invisalign dans un endroit frais et sec, hors de portée des enfants et des animaux domestiques.
- Ces appareils sont faits de résine qui ne doit pas être entreposée à des températures dépassant 38 °C ou 100 °F, comme dans la voiture, sous la lumière directe du soleil, etc.
Autres traitements dentaires recommandés
Une fois vos dents redressées, vous voulez maximiser l’apparence de votre nouveau sourire? Le traitement Invisalign fait partie de notre «Approche en 3 étapes» pour un résultat particulièrement éclatant.
Orthodontie invisible sans douleur Invisalign
Vous désirez corriger discrètement un défaut d’occlusion, un chevauchement ou des espaces dentaires? Conçues par vos dentistes avec une technologie 3D assistée par ordinateur, les coquilles transparentes et faites sur mesure INVISALIGN® redressent et alignent les dents.
Blanchiment dentaire
Une solution complémentaire efficace pour maximiser l’éclat de votre nouveau sourire, un blanchiment dentaire pour rectifier la décoloration ou le jaunissement des dents peut être effectué à la clinique Prisma et/ou à domicile directement dans les aligneurs Invisalign.
Une progression de plusieurs nuances est possible grâce à l’utilisation de gels professionnels qui contiennent des ingrédients actifs d’éclaircissement combinés à des molécules d’oxygène. Résultat, ces gels pénètrent au travers de l’émail pour séparer les molécules responsables du changement de couleur et éclaircir les dents. Le blanchiment des dents réalisé en clinique ou à domicile représente une solution durable et peu intrusive.
Restauration de l’émail
La restauration de l’émail usé permet de remédier à la décoloration, à l’usure et au vieillissement de l’émail des dents. Ce procédé consiste à appliquer et à polir une fine couche de composite pour redonner l’apparence d’origine à la surface des dents. Le tout s’effectue normalement sans anesthésie et sans fraisage, pour admirer votre nouveau sourire rapidement.
Autres traitements disponibles
Notez que pour restaurer des dents tachées, décolorées, déformées ou légèrement détériorées par l’usure, des facettes de porcelaine peuvent être apposées après le réalignement de vos dents. Il s’agit de minces coquilles qui recouvrent le devant ainsi que le côté des dents et servent à en corriger le contour, la couleur et les dimensions pour améliorer encore plus l’apparence de votre sourire.
Pour plus d’informations et des conseils personnalisés sur les autres traitements de restaurations et d’esthétique pouvant vous redonner le sourire, n’hésitez pas à faire appel à votre dentiste Prisma.
TESTER VOTRE FUTUR SOURIRE EN 2 VISITES DE SIMULATION
trousses d’information
TROUSSE INVISALIGN®
TROUSSE IMPLANTS
TROUSSE BLANCHIMENT DENTAIRE

